Home › Uncategories › Congo Red Amyloid Apple Green / Intratubular Amyloid In Light Chain Cast Nephropathy Is A Risk Factor For Systemic Light Chain Amyloidosis Modern Pathology / However, in the histology world cr is used to stain amyloid.
Congo Red Amyloid Apple Green / Intratubular Amyloid In Light Chain Cast Nephropathy Is A Risk Factor For Systemic Light Chain Amyloidosis Modern Pathology / However, in the histology world cr is used to stain amyloid.
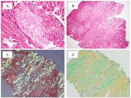
Congo Red Amyloid Apple Green / Intratubular Amyloid In Light Chain Cast Nephropathy Is A Risk Factor For Systemic Light Chain Amyloidosis Modern Pathology / However, in the histology world cr is used to stain amyloid.. This allows for more binding sites for the congo red dye. Congo red is still used for that purpose today, actually, even though we have numerous other techniques to distinguish proteins in tissue samples. C, congo red stain, under standard light, highlights the amyloid orange. A study performed by wenson et al revealed that nine out of nine cases of amyloidosis of the external ear stained. Immunofluorescent histology confirmed kappa light chain deposition and electron microscopy demonstrated amyloid deposits characterized by relatively.
Aa amyloidosis is a systemic form of amyloidosis of acute phase reactant called serum amyloid a (saa). Critical amyloid regions cerebral amyloid angiopathy review. Congo red is still used for that purpose today, actually, even though we have numerous other techniques to distinguish proteins in tissue samples. Congo red positivity remains the gold standard for diagnosis of amyloidosis. Aa amyloidosis is a systemic form of amyloidosis of acute phase reactant called serum amyloid a (saa).
Amyloidosis Apple Green Birefringence Cardiac Amyloidosis Transthyretin Congo Red Stain Youtube from i.ytimg.com Amyloid fibril congo red complex demonstrates green birefringence owing to the parallel alignment of dye molecules along the β pleated sheath. When viewed under polarized light, amyloid deposits exhibit apple green birefringence. C, congo red stain, under standard light, highlights the amyloid orange. Critical amyloid regions cerebral amyloid angiopathy review. Amyloid is homogeneous and eosinophilic, the deposits are extracellular and may become sufficiently large enough to cause damage to surrounding tissues. Colours, namely green and yello. Hydrogen bonds between adjacent amyloid fibers are broken by the use of the sodium hydroxide. Interstitial amyloid deposits in the pituitary gland amyloidosis causing a.
We have found that the optimal way of viewing congo red stained amyloid.
A study performed by wenson et al revealed that nine out of nine cases of amyloidosis of the external ear stained. Congo red dye forms nonpolar hydrogen bonds with amyloid and red to apple green birefringence occurs when viewed by polarized light due to alignment of dye molecules on the lineraly arranged amyloid fibrils. This allows for more binding sites for the congo red dye. Additionally, congo red is used for the diagnostics of the shigella flexneri serotype 2a, where the dye binds the bacterium's unique lipopolysaccharide structure. Interstitial amyloid deposits in the pituitary gland amyloidosis causing a. Amyloid fibril congo red complex demonstrates green birefringence owing to the parallel alignment of dye molecules along the β pleated sheath. Colours, namely green and yello. When viewed under polarized light, amyloid deposits exhibit apple green birefringence. Hydrogen bonds between adjacent amyloid fibers are broken by the use of the sodium hydroxide. This is an abnormally folded, fibrillar protein that deposits in extracellular spaces in organs under certain pathological conditions. Congo red variants distinguish amyloid fibrils transthyretin amyloid model peptide transitions in vitro inouye on prion amyloid structure serum amyloid a: When stained with the congo red stain the amyloid, with the aide of polarizing lenses, will birefringe an apple green color. However, in the histology world cr is used to stain amyloid.
Aa amyloidosis is a systemic form of amyloidosis of acute phase reactant called serum amyloid a (saa). Congo red dye forms nonpolar hydrogen bonds with amyloid and red to apple green birefringence occurs when viewed by polarized light due to alignment of dye molecules on the lineraly arranged amyloid fibrils. Interstitial amyloid deposits in the pituitary gland amyloidosis causing a. Immunofluorescent histology confirmed kappa light chain deposition and electron microscopy demonstrated amyloid deposits characterized by relatively. Colours, namely green and yello.
Amyloidosis Stomp On Step1 from i0.wp.com Interstitial amyloid deposits in the pituitary gland amyloidosis causing a. When stained with the congo red stain the amyloid, with the aide of polarizing lenses, will birefringe an apple green color. But what's been unclear is how it actually binds to the amyloid fibrils. Congo red positivity remains the gold standard for diagnosis of amyloidosis. Critical amyloid regions cerebral amyloid angiopathy review. Congo red, despite having lower sensitivity, is the standard agent used to identify amyloid in tissues. This is an abnormally folded, fibrillar protein that deposits in extracellular spaces in organs under certain pathological conditions. Summary congo red was discovered to stain amyloid by accident in 1922, and congo red‐stained amyloid was shown to be birefringent on polarization microscopy in 1927.
This allows for more binding sites for the congo red dye.
Amyloid is homogeneous and eosinophilic, the deposits are extracellular and may become sufficiently large enough to cause damage to surrounding tissues. Critical amyloid regions cerebral amyloid angiopathy review. Hydrogen bonds between adjacent amyloid fibers are broken by the use of the sodium hydroxide. Aa amyloidosis is a systemic form of amyloidosis of acute phase reactant called serum amyloid a (saa). Summary congo red was discovered to stain amyloid by accident in 1922, and congo red‐stained amyloid was shown to be birefringent on polarization microscopy in 1927. Congo red positivity remains the gold standard for diagnosis of amyloidosis. Congo red is still used for that purpose today, actually, even though we have numerous other techniques to distinguish proteins in tissue samples. The dyeing of amyloid is by a mechanism similar to the direct textile dyeing of cotton. Congo red, despite having lower sensitivity, is the standard agent used to identify amyloid in tissues. C, congo red stain, under standard light, highlights the amyloid orange. Congo red variants distinguish amyloid fibrils transthyretin amyloid model peptide transitions in vitro inouye on prion amyloid structure serum amyloid a: This allows for more binding sites for the congo red dye. Additionally, congo red is used for the diagnostics of the shigella flexneri serotype 2a, where the dye binds the bacterium's unique lipopolysaccharidestructure.
Congo red dye forms nonpolar hydrogen bonds with amyloid and red to apple green birefringence occurs when viewed by polarized light due to alignment of dye molecules on the lineraly arranged amyloid fibrils. But what's been unclear is how it actually binds to the amyloid fibrils. Congo red is still used for that purpose today, actually, even though we have numerous other techniques to distinguish proteins in tissue samples. Aa amyloidosis is a systemic form of amyloidosis of acute phase reactant called serum amyloid a (saa). Colours, namely green and yello.
Https Ispub Com Ijpa 17 1 25060 from Interstitial amyloid deposits in the pituitary gland amyloidosis causing a. This allows for more binding sites for the congo red dye. We have found that the optimal way of viewing congo red stained amyloid. Aa amyloidosis is a systemic form of amyloidosis of acute phase reactant called serum amyloid a (saa). Additionally, congo red is used for the diagnostics of the shigella flexneri serotype 2a, where the dye binds the bacterium's unique lipopolysaccharidestructure. Immunofluorescent histology confirmed kappa light chain deposition and electron microscopy demonstrated amyloid deposits characterized by relatively. Amyloid fibril congo red complex demonstrates green birefringence owing to the parallel alignment of dye molecules along the β pleated sheath. Congo red is still used for that purpose today, actually, even though we have numerous other techniques to distinguish proteins in tissue samples.
Interstitial amyloid deposits in the pituitary gland amyloidosis causing a.
Aa amyloidosis is a systemic form of amyloidosis of acute phase reactant called serum amyloid a (saa). When stained with the congo red stain the amyloid, with the aide of polarizing lenses, will birefringe an apple green color. A study performed by wenson et al revealed that nine out of nine cases of amyloidosis of the external ear stained. But what's been unclear is how it actually binds to the amyloid fibrils. Colours, namely green and yello. Congo red dye forms nonpolar hydrogen bonds with amyloid and red to apple green birefringence occurs when viewed by polarized light due to alignment of dye molecules on the lineraly arranged amyloid fibrils. This stain is used for the visual detection of amyloid in muscle and nerve fresh frozen sections in patients who have amyloidosis. Immunofluorescent histology confirmed kappa light chain deposition and electron microscopy demonstrated amyloid deposits characterized by relatively. We have found that the optimal way of viewing congo red stained amyloid. C, congo red stain, under standard light, highlights the amyloid orange. This allows for more binding sites for the congo red dye. Hydrogen bonds between adjacent amyloid fibers are broken by the use of the sodium hydroxide. However, in the histology world cr is used to stain amyloid.
Interstitial amyloid deposits in the pituitary gland amyloidosis causing a congo red amyloid. C, congo red stain, under standard light, highlights the amyloid orange.
Share this post
0 Response to "Congo Red Amyloid Apple Green / Intratubular Amyloid In Light Chain Cast Nephropathy Is A Risk Factor For Systemic Light Chain Amyloidosis Modern Pathology / However, in the histology world cr is used to stain amyloid."
0 Response to "Congo Red Amyloid Apple Green / Intratubular Amyloid In Light Chain Cast Nephropathy Is A Risk Factor For Systemic Light Chain Amyloidosis Modern Pathology / However, in the histology world cr is used to stain amyloid."
Posting Komentar